Notizie

Recensione DR SMILE X Impress: intervista a Francesca

Cinzia G. 11 marzo 2024
Recensione DR SMILE X Impress: intervista a Francesca

Ciao, parlaci di te: chi sei e cosa ti rende felice?

"Ciao sono Francesca. Ho 26 anni e vengo da un paese in provincia di Venezia. La cosa che mi rende più felice è la mia famiglia. Ho due bambine piccole: con loro ci divertiamo molto e adesso che i miei denti sono perfetti, sorrido ancora di più."

Perché hai scelto di rivolgerti a DR SMILE x Impress?

"Quando ero piccola, ho portato l'apparecchio fisso per qualche anno ma alla fine di quel trattamento poi i denti si sono spostati e hanno creato un affollamento nell'arcata inferiore che mi creava un po di disagio, per questo motivo ho deciso di intraprendere un percorso con DR SMILE x Impress."

E cosa non ti piaceva del tuo sorriso?

"Quando mi riguardavo nelle foto e nei video mi sentivo a disagio perché credo che un sorriso debba far star bene. Un sorriso può dire quello che le parole non dicono."

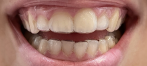
Prima:

Testimonial DR SMILE Francesca prima

Dopo:

Testimonial DR SMILE Francesca dopo

Come ci hai conosciuto?

"Ho visto la pubblicità di DR SMILE x Impress sui social, su Instagram, e ho deciso di prendere subito un appuntamento. Ho prenotato il mio primo appuntamento presso la clinica partner di Bologna e sono rimasta molto soddisfatta sia dalla puntualità che dalla professionalità del dentista e dell'assistente. Durante l'appuntamento mi hanno spiegato come i miei denti si sarebbero spostati grazie alle mascherine per ottenere il mio sorriso perfetto."

E cosa ti ha convinto a sceglierci alla fine?

"Quello che mi ha convinto alla fine è stato il prezzo, perché avevo fatto in precedenza altri preventivi ma DR SMILE x Impress era il più conveniente."

Cosa ti è piaciuto della tua esperienza con DR SMILE x Impress?

"Una cosa per me importante è stato non dovermi recare ogni volta presso la clinica di Bologna per cambiare gli allineatori. Anche perché la mia vita da mamma e da lavoratrice mi tiene impegnata. Ho potuto così seguire tutto il mio percorso tramite l'app DR SMILE x Impress."

Il ricordo più bello con il tuo nuovo sorriso.

"Mi ricordo benissimo quando ad una cena una mia amica mi disse che il mio sorriso era cambiato drasticamente e io ero felicissima, ovviamente!"
Recensione paziente DR SMILE Francesca

Vuoi scoprire se DR SMILE x Impress fa al caso tuo?

Vorresti allineare i tuoi denti ma non sai se gli allineatori DR SMILE x Impress possono fare al caso tuo? Verificalo prenotando un primo appuntamento presso una delle cliniche partner DR SMILE x Impress vicino a te. Qui un nostro dentista partner risponderà alle tue domande sul percorso con allineatori ed effettuerà una scansione 3D indolore dei denti in base alla quale sarà possibile stabilire la tua idoneità agli allineatori. Dopo pochi giorni dall'appuntamento riceverai simulazione del risultato e preventivo, e potrai cominciare il percorso verso il tuo nuovo sorriso!

SCOPRI DI PIÙ
Perché fare ricorso a un secondo trattamento ortodontico
Odontofobia: affrontare la paura del dentista
Movimenti ortodontici: ecco come si allineano i denti