Salute dentale

Ponti dentali: tipologie, procedura, manutenzione e considerazioni pratiche

Cinzia G. 22 gennaio 2024
Ponti dentali: tipologie, procedura, manutenzione e considerazioni pratiche

Articolo informativo: DR SMILE x Impress non offre questo servizio.

1. Cosa sono i ponti dentali e come funzionano

I ponti dentali sono dispositivi odontoiatrici progettati per colmare lo spazio causato da denti mancanti. La loro funzione principale è quella di ripristinare la funzionalità masticatoria e l'armonia estetica del sorriso. Ancorati ai denti adiacenti o mediante supporti adesivi, i ponti dentali si configurano come un elemento essenziale nella cura della salute orale.

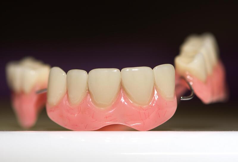
2. Tipologie di ponti dentali

Esistono diverse tipologie di ponti e ognuno di essi offre vantaggi specifici in termini di stabilità e estetica, consentendo una scelta personalizzata in base alle esigenze individuali del paziente:

  • Ponte fisso tradizionale: ancorato ai denti adiacenti e può essere realizzato con materiali come ceramica o leghe metalliche.

  • Ponte cantilever: utilizza un solo dente pilastro anziché due ed è ideale quando c'è un solo dente adiacente disponibile.

  • Ponte adesivo o maryland: utilizza un supporto metallico adesivo dietro i denti adiacenti, richiedendo meno preparazione dei denti pilastri.

Ponte dentale

3. Pro e contro dei ponti dentali

Questi dispositivi offrono notevoli vantaggi, come il ripristino della funzionalità masticatoria e l'aspetto naturale del sorriso. Tuttavia, è fondamentale considerare attentamente gli svantaggi, tra cui la necessità di preparare i denti adiacenti e la potenziale sensibilità temporanea. Un confronto equilibrato tra pro e contro aiuterà a prendere decisioni informate.

Pro:

  • Ripristinano la funzionalità masticatoria e l'estetica

  • Stabili e durevoli se mantenuti correttamente

Contro:

  • Richiedono la preparazione dei denti adiacenti

  • Possono causare sensibilità temporanea

  • Non prevengono il riassorbimento osseo sottostante

4. Procedura di installazione del ponte dentale: durata, dolore

La procedura di installazione di un ponte dentale comporta generalmente 3 passaggi:

  • Preparazione dei denti pilastri

  • Presa di impronte dentali

  • Creazione di un ponte personalizzato in laboratorio

La durata del processo varia, ma in genere possono essere necessarie due o più visite. Il dolore associato alla procedura è gestibile attraverso l'uso di analgesici, garantendo il massimo comfort al paziente.

Dentista esamina radiografia di denti con ponti dentali

5. I ponti dentali sono permanenti?

I ponti dentali sono generalmente considerati permanenti. Tuttavia, la loro durata dipende da diversi fattori, come la salute dei denti adiacenti, l'igiene orale e i materiali utilizzati. Una corretta manutenzione e una vigilanza periodica da parte del dentista sono fondamentali per garantire la longevità del ponte.

6. Manutenzione dei ponti dentali

La manutenzione regolare è essenziale per preservare l'integrità e l'efficacia del ponte dentale. Mantenere un'ottima igiene orale, con l'uso di spazzolini interdentali e fili interdentali specifici, è cruciale per prevenire carie e problemi gengivali. Visite regolari dal dentista consentono una valutazione approfondita e interventi tempestivi in caso di eventuali complicazioni.

7. Quando mettere un ponte dentale?

La decisione di optare per un ponte dentale dovrebbe essere presa quando la mancanza di uno o più denti influisce sulla masticazione, la fonetica e l'estetica del sorriso. Una valutazione accurata del dentista considererà la salute generale della bocca, la disponibilità di denti adiacenti idonei e altri fattori rilevanti.

8. Quanto costa un ponte dentale?

Il ponte dentale prezzo varia in base a diversi fattori come il tipo di ponte, i materiali utilizzati e la complessità della procedura. Molte assicurazioni dentali offrono coperture parziali o totali, rendendo l'opzione più accessibile. Consultare il dentista e l'assicurazione per ottenere informazioni specifiche sui costi e sulle coperture disponibili.

9. Ponte dentale rotto, si stacca, si muove: cosa fare?

In caso di problemi con il ponte dentale, come rottura, stacco o movimento, è cruciale contattare immediatamente il dentista per un intervento professionale. Evitare l'autoriparazione è essenziale per prevenire danni ulteriori. Conservare il ponte in modo sicuro e presentarlo al dentista per una valutazione accurata, che determinerà le soluzioni correttive necessarie.

Dentista mostra ponte dentale a paziente

In conclusione, l'adozione di un ponte dentale richiede un approccio ponderato e informato. Con la consulenza del dentista e una corretta gestione, i ponti dentali possono offrire una soluzione duratura per migliorare la salute orale e il sorriso di ogni paziente.

Cos’è l’ortodonzia? Tutte le domande più comuni
Guida completa al Mewing: cos'è, benefici, esercizi e controindicazioni
Devitalizzazione dente: cos’è, quando farla, problemi comuni